Воспалительный процесс, сопровождающийся изъявлением и помутнением роговицы, носит название кератит глаза. Развивается он на фоне травм, внутренних заболеваний, глазных патологий, заражения вирусом, грибами или бактериями. Изменение роговицы необратимо и сопровождается понижением зрения. Что такое кератит, какие он имеет виды и особенности, а также чем он может быть опасен, мы расскажем в нашей статье.
Поверхностная форма
Поверхностный кератит не вызывает обширного поражения роговицы, обычно это лишь вкрапления, поэтому еще он носит название точечный кератит. Его развитие происходит на фоне вируса, трахомы, кератоконъюнктивита. Спровоцировать его может бесконтрольный прием препаратов систематического действия, ношение контактных линз или облучение глазного яблока ультрафиолетовым светом (например, при работе с дуговой сваркой).
Как лечить кератит этой формы? Прежде всего офтальмолог определяет природу заболевания, а после подбирает противовирусные препараты или антибиотики. На весь период терапии рекомендовано отказаться от линз и стероидных медикаментов.
Характерен для данной формы кератита частый рецидив. Профилактика заключается в предотвращении заболевания глаз, соблюдения техники безопасности при работе. При больших рисках повторного заражения осуществляют ультразвуковую стерилизацию роговицы.
Краевой кератит тоже относится к поверхностной форме, так как поражает верхний слой глазного яблока. Нередко появляется он в качестве осложнения перенесенного заболевания органа зрения. Поражение роговицы точечное, проходит по ее краю. Очаги инфильтрации способны сливаться.
Лечение заключается, в первую очередь, в терапии конъюнктивитов, блефаритов и других заболеваний. В остальном краевой кератит лечится так же, как и язвенный.
Кератит — это воспаление роговицы глаза, которое может привести к серьезным осложнениям, включая потерю зрения. Врачи выделяют несколько разновидностей кератита, каждая из которых имеет свои причины и симптомы. Инфекционный кератит может быть вызван вирусами, бактериями или грибами, что требует специфического подхода к лечению. Неинфекционный кератит, в свою очередь, может возникать из-за травм, химических воздействий или длительного ношения контактных линз. Врачи подчеркивают важность своевременной диагностики и лечения, так как запущенные формы заболевания могут привести к рубцеванию роговицы и необратимым последствиям для зрения. Регулярные осмотры у офтальмолога и соблюдение правил гигиены глаз помогут снизить риск развития кератита.

Аллергическая форма
Аллергия тоже может стать причиной серьезных патологических процессов, одним из которых является и аллергический кератит. Подобная острая реакция на воздействие аллергена присуща подросткам и детям. Появляется она на медикаменты, шерсть животных, пыль и т. д.
При высокой сенсибилизации организма аллергический кератит нередко провоцируется эндоаллергенами, т. е. токсинами. Вырабатываются они при туберкулезной интоксикации, гельминтозе. Причем микобактерии туберкулеза может не быть, просто это такая реакция ослабленного организма.
Аллергический кератит протекает с присущим любому типу подобной болезни роговичным синдромом (блефароспазм, избыточное отделение слезной жидкости, светобоязнь). Дополнительно появляется боль, краснота в глазах, субфебрильная температура.
Успешное излечение возможно при немедленном прекращении контакта с аллергеном. За веко нужно закладывать мази на основе кортикостероидов, капать дексаметазон. Антигистаминные средства подбирает врач, дополняют терапию приемом витаминных препаратов. Если аллергический кератит постоянно рецидивирует, используют стероиды. Понижение зрения лечат физиотерапевтическими методами (электрофорез, фонофорез).
При проникновении воспаления на ресничное тело или радужку, аллергический кератит осложняется иридоциклитом, склеритом, иритом. Длительно протекающее заболевание опасно тем, что может вызвать эндофтальмит, катаракту, глаукому и неврит зрительного нерва.
Туберкулезная форма
Туберкулезный кератит – это результат деятельности палочки Коха, исключение составляет лишь его аллергическая форма, когда главную роль играют не микобактерии, а сенсибилизация организма. Механизм заражения туберкулезом обычный – через кровь, питье, еду, воздух. Риск выше при плохом состоянии иммунной системы или недостатке витаминов.
Существует 3 формы заболевания:
- склерозирующий;
- очаговый глубокий;
- диффузный глубокий.
Терапия основного заболевания очень важна, однако нужно останавливать и воспалительный процесс, затрагивающий глазное яблоко, иначе это грозит опасными осложнениями. Витаминотерапия, ферменты, препараты, улучшающие метаболизм – эти медикаменты подходят на начальной стадии или в качестве профилактики. В других случаях требуется применять более серьезный список лекарств: антибиотики, НПВС, антибактериальные растворы. При аллергическом типе заболевания применяют такие методы лечения, как диетотерапия, прием антигистаминных средств и препаратов кальция.
Кератит — это воспаление роговицы глаза, которое может вызывать различные симптомы, такие как покраснение, боль, светобоязнь и ухудшение зрения. Люди часто делятся своими переживаниями о кератите, отмечая, что это состояние может быть вызвано инфекциями, травмами или даже длительным ношением контактных линз. Существует несколько разновидностей кератита: бактериальный, вирусный, грибковый и аллергический. Бактериальный кератит, например, может возникнуть из-за несоблюдения гигиенических норм при использовании линз, тогда как вирусный часто связан с герпесом. Многие пациенты подчеркивают важность своевременного обращения к врачу, так как запущенные формы кератита могут привести к серьезным осложнениям, включая потерю зрения. Профилактика, такая как правильный уход за глазами и соблюдение гигиенических норм, играет ключевую роль в предотвращении этого заболевания.

Нейротрофический (нейрогенный) кератит
Нейротрофический кератит затрагивает тройничный нерв, поэтому роговица при данном поражении не только мутнеет, но и теряет чувствительность. На фоне этого нередко обостряются хронические заболевания глаза, которые протекают длительно из-за сниженной способности к регенерации. Причиной такой ситуации может стать как травма, так и различные инфекции.
Помимо присущих заболеванию симптомов, нарушаются процессы увлажнения и трофики в роговице, моргание становится не таким частым. Долгое время никаких других признаков не возникает, поэтому протекает нейротрофическая форма кератита незаметно. Уже после появляются признаки, которые обычно присущи любому типу патологии, дополняясь сильными болями, которые характерны для невралгии тройничного нерва.
Лечебные мероприятия включают применение медикаментов, улучшающих регенерацию, трофику и обменные процессы. За веко закладывают декспантенол и другие мази с восстанавливающим действием. Противовирусные, противовоспалительные препараты дополняют электрофорезом, лазеротерапией, магнитотерапией. Болевой синдром купируется новокаиновой блокадой.
При этом типе болезни рекомендовано изолировать глаз повязкой или полугерметическими очками. В качестве профилактик повторного появления нейротрофического кератита используют противомикробные растворы и антибактериальные капли.
Нитчатая форма
Сухой кератоконъюнктивит (он же нитчатый кератит) относится к заболеваниям, точная природа которых не определена. Медики сходятся во мнении, что виной тому плохая работа слезных и слюнных желез, так как при патологии пациенты часто жалуются, что слизистые рта и глаза страдают от сухости.
Нитчатый кератит особенен тем, что помутнение в глазу имеет нитевидный характер. Повреждение возникает на фоне синдрома «сухого глаза», а также на фоне различных травм. Периоды ремиссии и обострения у каждого человека разные, но спровоцировать новую волну заболевания способна даже простуда.
Миалгии, проблемы с пищеварением, мышечные боли наблюдаются в случаях, когда нитчатый кератит протекает на фоне сухости слизистых (синдром Шегрена).
Клиническая картина такова:
- небольшое количество слез или их отсутствие;
- отделение нитчатого секрета (вначале) и отшелушивание эпителия (последняя стадия);
- покраснение конъюнктивы;
- снижение остроты зрения;
- гиперкератоз.
Плохо изучены подобные формы кератитов, но офтальмология все же выработала основные вехи успешной лечебной тактики. В частности, верхний слой глазного яблока обязательно постоянно увлажняют каплями и витаминными растворами (в том числе масляными). Назначают таурин, мази, кортикостероиды, вазелиновое масло и, конечно, капли, способные заменять человеческую слезу. Если нитей много, их удаляют и прижигают основание сульфитом цинка, раствором бриллиантовой зелени.
Акантамебная форма
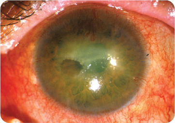
Многие офтальмологи запрещают не просто купаться в линзах, но и промывать их обычной водой, а не специальными растворами, хотя и не все прислушиваются к таким рекомендациям. Как выяснилось, зря, поскольку акантамебный кератит развивается как раз из-за инфицирования акантамебами – одноклеточными, провоцирующими воспаление роговицы глаза.
Клиническая картина включает такие признаки:
- боль режущего характера;
- краснота;
- слезотечение;
- затуманивание зрения;
- помутнение роговичного слоя кольцевидного характера.
Кератиты различной этиологии могут быть опасны, но акантамебный сложнее поддается лечению. При выявлении любых признаков следует сразу же обращаться к окулисту, поскольку всегда он опасен для глаз.
Акантамебный кератит, как уже упоминалось выше, провоцируется одноклеточными организмами, которые можно занести в глаз не только при контакте с водой в различных водоемах, но и после влажной почвы. Обитают акантамебы даже в питьевой воде. Почему же заражение ими происходит обычно лишь при условии ношения контактных линз (до 96% случаев). Дело в том, что акантамебный кератит именно под ними развивается быстро из-за благоприятных условий, ведь линзы постоянно наносят глазу микротравмы.
Данная форма патологии устойчива к самым разным группам антибиотиков, а это в значительной мере усложняет лечение. В сложных случаях акантамебный кератит не прекращается даже после пересадки роговицы, поэтому очень важно соблюдать простые правила для его профилактики:
- Любые купания в линзах запрещены, причем как в водоемах, так и в джакузи, бассейне, душе. Посещать их лучше в специальных очках для купания – тогда глаза и линзы будут защищены.
- Всегда следите за чистотой контейнера, предназначенного для линз. Еженедельно его нужно кипятить для полной стерилизации.
- Руки перед надеванием или снятием тщательно моют.
- Запрещено пользоваться любой водой. Для очистки существуют специальные растворы.
- Промывайте линзы после каждого снятия и регулярно меняйте очищающее средство.
- Если появилась краснота и другие неприятные симптомы, немедленно отправляйтесь к офтальмологу!
Инфекционные типы кератитов
Инфекционный кератит провоцируют несколько микроорганизмов, к которым относят грибки, бактерии и вирусы. Каждый из этих типов болезни обладает своими особенностями в сфере клинической картины и лечения.
Бактериальная форма
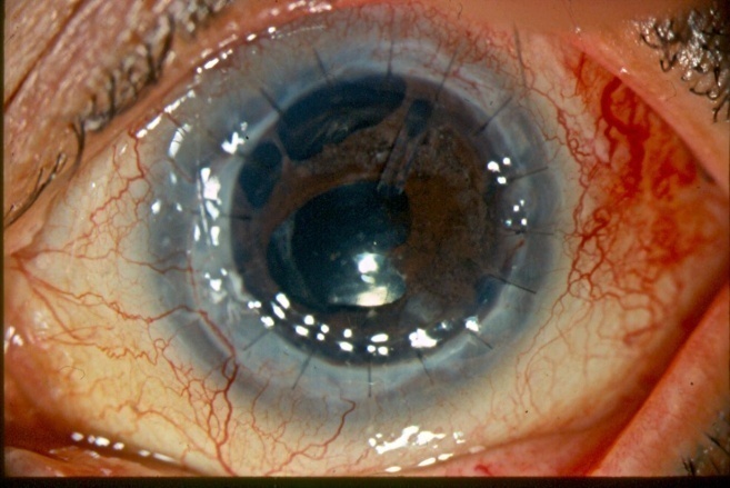
Бактериальный кератит протекает в острой форме. Среди патологий роговицы именно данный тип болезни диагностируют чаще других. Протекает она настолько серьезно, что часто вызывает временную нетрудоспособность, а если не лечить ее полноценно, то значительное понижение зрения не заставит себя ждать.
Бактерии проникают через поврежденный эпителий, причем на долю золотистого стафилококка, синегнойной палочки, стрептококка и пневмококка приходится до 80% случаев. Помимо травм, бактериальный кератит провоцируется некоторыми глазными патологиями. Возникает он при диабете, иммунодефиците и при наличии очагов хронической инфекции.
Острый кератит начинается с резких болей, накапливания инфильтратов ржаво-желтых оттенков на разной глубине глазного яблока. Сама роговица становится матовой, с изъявлениями и падением качества зрения. Отличается все это быстрым прогрессом, поэтому человека, у которого диагностировали бактериальный кератит, немедленно госпитализируют.
Лечение включает в себя применение целого ряда антибактериальных средств, причем как местно, так и перорально. В сложных случаях лекарства вводят под глазное яблоко или конъюнктиву. Дополнительно нужно применять антисептики и противовоспалительные средства, мидриатики, чтобы предотвратить спаечный процесс. Если язва будет прогрессировать, то ее лечение будет исключительно хирургическим.
Благоприятный прогноз возможен только при полноценной терапии и своевременной диагностике, но нужно отметить, что даже при успешном лечении на глазу остается бельмо. Восстановление зрительной функции глаза происходит при помощи эксимерлазерной процедуры, ФТК или кератопластики.
Грибковая форма болезни
При инфицировании внешнего слоя грибками развивается грибковый кератит. Существует несколько факторов, способных спровоцировать данный тип заболевания:
- вирусный кератит хронического течения;
- травма глазной области;
- некоторые типы кортикостероидов;
- кератоконъюнктивит;
- опоясывающий лишай.
Если глаз был ранен каким-либо предметом, на котором имелись патологические микроорганизмы, то воспалительный процесс может протекать долго. Опасно то, что он трансформируется в язву и несет серьезные последствия.
Заражение дрожжевым, лучистым или плесневыми грибами происходит быстро, а уже спустя 3 дня отмечают первые симптомы. Они сами по себе очень специфичны: инфильтрат сухой, края и текстура неровные, желтоватые или серо-коричневые. В инфильтрате так же можно увидеть грануляции, бляшки.
Протекать болезнь способна как несколько дней, так и недель. Со временем образовавшийся валик инфильтрата можно будет соскрести, часто он отделяется сам. Эпителий роговицы отмирает, замещается соединительной тканью, образуя бельмо. Грибковый кератит редко, но все же способен через перфорацию затрагивать радужку.
Главная защита от этой формы болезни – это предупреждение контакта слизистой глазного яблока с загрязненными руками (особенно после сельскохозяйственных работ), предотвращение травм. После выявления типа грибка подбирают препарат, к которому он наиболее чувствителен. Применяют мази, капли, таблетированные формы антибиотиков. Если результата нет, обязательно проводят кератопластику.
Вирусная форма болезни
Вирусный кератит провоцируется в 70% случаев герпетическими вирусами. Оставшиеся 30% причин приходятся на эпидемический паротит, аденовирусную инфекцию, корь, ветряную оспу. При переохлаждении или плохом иммунитете риск заражения выше.
Рецидива кератита вирусной природы редко удается избежать, и это его характерная черта. Выделяют несколько подтипов заболевания:
- первичный герпесный кератит;
- древовидный;
- точечный;
- дисковидный;
- метагерпетический;
- нейрогенный.
Вирусный кератит лечат целой группой медикаментов, среди которых НПВС, антигистаминные средства, антиоксиданты, мидриатики, ингибиторы ферментов протеолиза и другие средства. Подключают и физиотерапию.
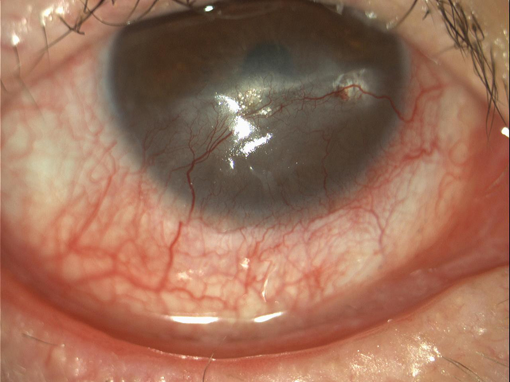
Древовидная форма
Древовидный кератит – это одна из самых тяжелых его форм, отличающаяся тем, что в поверхностном роговом слое возникает нетипичное помутнение, схожее с веткой дерева. Начальную форму заболевания всегда можно спутать с конъюнктивитом, но уже вскоре появятся характерные отличия: отек, инфильтрат, высыпания, боль.
Если лечение начато вовремя, то древовидный кератит легко излечивается. Сама лечебная терапия хоть и простая (мази, капли, соскабливание новообразований доктором), но очень длительная.
Особенности герпетического кератита
Герпетический кератит провоцируется вирусами герпеса, всего их существует восемь. В результате роговица воспаляется. Для этой формы заболевания характерно то, что она проявляется «волнами», часто рецидивирует даже после излечения.
Герпетический кератит опасен тем, что воспаление способно углубиться, затрагивая не только поверхностный слой, но и глубокую часть роговицы. Результатом подобного станут язвы и эрозии.
Существует 3 самых распространенных формы болезни:
- Древовидный.
- Везикулезный герпетический кератит. На поверхности формируются пузырьки, которые после вскрываются и образовывают полости эрозии.
- Географический имеет подобное название из-за того, что очаги язв имеют характерный вид.
Как только заболевание проникает во внутренние слои (строму) роговицы, герпетический кератит перетекает в стромальный кератит (глубокую форму), который тоже имеет несколько подвидов:
- дисковидный;
- метагерпетический;
- интерстициальный;
- язвенный;
- очаговый.
Для каждого вида характерно ухудшение зрения, боль, краснота, постоянное ощущение инородного тела в слизистой. При герпетической форме кератита симптомы способны постепенно усугубиться тем, что они перетекут в кератоувеит и в передней глазной камере начнется накопление гноя.
Даже обычное выраженное воспаление осложняется тем, что соединительная ткань приходит на место прозрачному эпителию рогового слоя. Герпетический кератит глаз приведет в подобном случае к полной утере зрения из-за быстро формирующегося бельма. Более того, при глубоком поражении часто возникают язвы, а ее прорыв серьезно угрожает человеку не только высокой вероятностью ослепнуть, но и потерять глаз.
Лечение следует начинать немедленно. Герпетический хронический кератит глаз лечится при помощи местной обработки аналогов нуклеотидов, дополнительно назначается Интерферон. Полную терапию назначают в соответствии с индивидуальными симптомами. Перечень препаратов может включать стероиды, анальгетики, кератопротекторы, противовоспалительные средства, антисептики и антибиотики.
Сифилитическая форма: лечение, симптомы
Паренхиматозный кератит (он же глубокий, диффузный, сифилитический кератит) – это такая форма заболевания, которая чаще является врожденной. Ребенок еще при нахождении в утробе заражается им. Самый частый период жизни, когда он начинает проявляться – 5-20 лет, в позднем возрасте он практически не регистрируется, однако существуют опасения, что вскоре патология роговицы может быть выявлена до 40 лет. Это объясняется развитием устойчивости ко многим группам антибиотиков.
Сифилитический кератит бывает и приобретенным, причем в этом случае поражается обычно только один глаз. Этот тип заболевания сопровождается следующими признаками:
- резь;
- ощущение, словно в глазах песок;
- инфильтрация;
- зуд;
- краснота.
Описанные симптомы характерны для начальной стадии, далее болезнь осложняется отеком роговицы, так как она постепенно утолщается. Постепенно она мутнеет, появляются боли, воспаление, которое распространяется и на ресничное тело с радужкой. С момента начала и до этой стадии может пройти до 3 месяцев, но длиться сифилитический кератит способен до 2 лет. При выздоровлении утихают симптомы, роговой слой становится светлее.
Даже если ранее зрение было сильно нарушено, то после излечения можно надеяться на его полное восстановление, вне зависимости от длительности заболевания.
Вылечить патологию удастся только в случае успешного излечения сифилиса, т. е. первичной проблемы. Для глаз местно применяют растворы глюкокортикостероидов. Быстрому рассасыванию инфильтрата способствуют еще и инъекции ферментные медикаменты. Если помутнение стойкое, то придется прибегнуть к хирургическим методикам лечения.
Появление язв как осложнение кератита
Язвенный кератит считается одним из самых опасных из-за того, что часто исход заболевания – это потеря зрения. Происходит подобное вследствие образования перфораций роговицы и образования обширных рубцов. Чаще всего страдают ее края, поэтому патология носит название периферической. Язвы могу появиться при любой форме болезни, если отсутствует должное лечение.
Язвенный периферический или центральный кератиты глаза – что это такое мы разобрались, но как его принято лечить? Терапия направлена на устранение неблагоприятных симптомов, предотвращение основной первопричины и улучшение общего прогноза. Основную группу препаратов подбирают, исходя из типа возбудителя.
Некоторые воспаления протекают молниеносно, уже спустя двое суток возникают первые язвы и перфорации. Восстановление зрения полностью в сложных случаях бывает уже невозможным, поэтому пациента важно вовремя госпитализировать.

Вопрос-ответ
Какие симптомы могут указывать на наличие кератита?
Симптомы кератита могут включать покраснение глаза, боль, светобоязнь, размытость зрения, слезотечение и ощущение инородного тела в глазу. Важно обратиться к врачу при появлении этих признаков для своевременной диагностики и лечения.
Каковы основные причины возникновения кератита?
Кератит может быть вызван различными факторами, включая инфекционные агенты (бактерии, вирусы, грибы), травмы глаза, длительное ношение контактных линз, а также аллергические реакции. Важно определить причину для назначения правильного лечения.
Как лечится кератит и какие методы используются?
Лечение кератита зависит от его причины и может включать антибактериальные или противовирусные капли, противовоспалительные препараты, а также в некоторых случаях хирургическое вмешательство. Важно следовать рекомендациям врача для предотвращения осложнений.
Советы
СОВЕТ №1
Обратите внимание на симптомы. Если вы заметили покраснение, боль, светобоязнь или ухудшение зрения, не откладывайте визит к офтальмологу. Раннее выявление кератита может предотвратить серьезные осложнения.
СОВЕТ №2
Изучите различные виды кератита. Существуют бактериальный, вирусный и грибковый кератит, каждый из которых требует специфического подхода к лечению. Знание о разновидностях поможет вам лучше понять возможные риски и методы профилактики.
СОВЕТ №3
Соблюдайте гигиену глаз. Используйте только качественные контактные линзы и следуйте рекомендациям по их уходу. Это поможет снизить риск развития инфекционных заболеваний, включая кератит.
СОВЕТ №4
Регулярно проходите обследования у офтальмолога. Профилактические осмотры помогут выявить проблемы на ранних стадиях и сохранить здоровье ваших глаз.



















